John Bienvenu, a resident of Lafayette, Louisiana, has defied medical expectations and survived six years after being diagnosed with a fast-growing and aggressive brain cancer. Doctors had initially given him only a few months to live, but with unwavering determination and the support of his devoted family, he has beaten the odds.
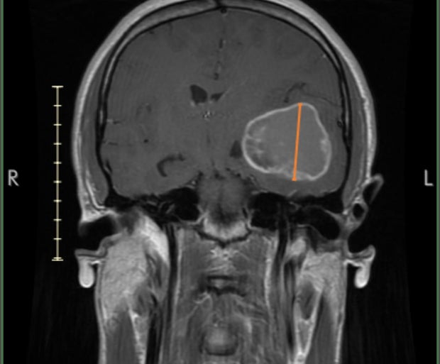
At just 28 years old, Bienvenu faced an uncertain future when surgeons rushed to remove a lemon-sized glioblastoma brain tumor, revealing it was stage 4. He thought that could be the end for him.
“People usually live three to six months,” Bienvenu said.
But as he woke up from surgery, his 8-month-old son was put on his lap — and that pushed him to keep going.
“He looked me in the eyes and he was smiling and I looked at him and I decided right there, I wanted to show him how to live,” said Bienvenu.
Leslie Bienvenu
Together with his wife, Leslie, whom he had known since childhood, they decided that even radiation and chemotherapy treatments would not stop them from living as if every day is a special day. Refusing to accept a grim prognosis, they shifted their hope from the medical world to their faith, relying on their strong belief to guide them through the challenging journey.
Leslie Bienvenu
“When the medical world, the science world tells you, ‘enjoy your life, good luck,’ but there’s not much hope in it, we shifted that hope into our faith life,” said Leslie.
Bienvenu’s family, including his mother Melissa, shared their unwavering support during his journey.
“It’s a story for hope, it’s a story of love and it’s a story of faith,” his mother said.
Their road, however, was daunting, and Bienvenu’s father, Jimmy and brother, James, who were doctors, faced the challenge of reconciling their professional knowledge with their family’s reality.
The family celebrated each milestone, making the most of their time together — thinking they didn’t have much of it left. They marked the end of his radiation treatments with a trip to North Carolina on his 29th birthday.
Leslie Bienvenu
“I remember taking a picture of that cake, thinking that this will probably be his last birthday,” said Melissa.
After the initial diagnosis, he underwent a major surgery to remove the tumor and the doctors believed they successfully removed all of it. Following the surgery, he underwent chemotherapy. There was a recurrence and he required another surgery to remove a portion of the recurrent tumor. To address the remaining tumor, he underwent gamma knife treatment, a form of radiation therapy and continued with several years of chemotherapy.
But as he persisted, he was also prepared to die — and decided to live life to the fullest, by living simply.
“We were living a bucket list life,” said Leslie. “And our bucket list didn’t look like skydiving or taking a European backpacking trip or scuba diving. We planted a garden, we got chickens.”
Bienvenu also traded his comfortable desk job as a vice president for a development company for a job outdoors as a landscaper, embracing the joy of being outside and close to nature.
Over the years, more than three dozen scans have shown no cancer. But Bienvenu and his family remain humble and grounded, living with the knowledge that life can change in an instant.
Bienvenu’s incredible journey has become a source of inspiration for many, including his brother James, who uses the story in his practice to offer hope to patients facing difficult diagnoses.
Leslie Bienvenu
The Bienvenu family knows how fortunate they are to be among the 5% of people with glioblastoma who survive for five years or more.
Today, Bienvenu’s purpose remains steadfast: to show others that love triumphs above all else.
“I think my purpose is to show others that love is above all else. Love is above all else,” he said.













